breaking news

Attualità

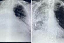
Alla Gepos intervento chirurgico straordinario salva la vita ad un paziente metastatico
0

Alla Gepos intervento chirurgico straordinario salva la vita ad un paziente metastatico

Maggio 13th, 2024 | by redazione Labtv
Straordinario intervento salvavita eseguito alla Gepos di Telese Terme grazie alla equipe del chirurgo toracico, Alfonso Maiorino. Il paziente, già dimesso altrove, era giunto alla osservazione del chirurgo con una situazione...
Una lisca di pesce gli perfora la carotide, 22enne salvato al San Pio
0

Una lisca di pesce gli perfora la carotide, 22enne salvato al San Pio

Dicembre 1st, 2022 | by Maresa Calzone
Ingerisce accidentalmente una lisca di pesce che finisce per perforare la carotide. Una vicenda davvero incredibile e singolare quella accaduta a Saverio, un ragazzo di 22 anni di San Bartolomeo in Galdo salvato dall’equipe...
Clementino si opera alla Malzoni di Avellino e in un post ringrazia lo staff della clinica
0

Clementino si opera alla Malzoni di Avellino e in un post ringrazia lo staff della clinica

Febbraio 23rd, 2021 | by Redazione Av
Il famoso e simpaticissimo rapper campano Clementino si è sottoposto ad un intervento chirurgico alla “Clinica Malzoni” di Avellino. Ad annunciarlo con un post su facebook lo stesso cantante che ringrazia lo staff...